How do you get over a breakup when you still love each other?
How to Get over a Breakup when You Still Love Each Other: 11 Things to Do Give each other space for a while. Take a few days to really grieve. Take care o...
Why Are Honey Bees Swarming My Hummingbird Feeder? Honey bees swarm your hummingbird feeder when they don't have other food sources nearby. Bees prefer nectar over the sugar water inside the h...
Read Full Story
How to Get over a Breakup when You Still Love Each Other: 11 Things to Do Give each other space for a while. Take a few days to really grieve. Take care o...
Blue Print is a bilstein group Brand The group is currently represented in 170 countries worldwide, with more than 2,100 employees across three central di...
McIlroy current uses the TaylorMade Spide X Hydroblast putter. What putter does Rory McIlroy use 2022? Rory McIlroy uses the TaylorMade Spider X Hydro Bla...
Charles tells Meg that Mrs. Whatsit hates her, and at that moment, Meg realizes the one thing that she has that IT does not have: love. Though she cannot ...
Holding the record for the top 3 heaviest lifts; the Taisun crane in China is the strongest crane that exists in the world today. With a working load limi...
Assuming a 50% return per annum and 50% burn, the price of Shiba Inu crypto will be able to reach 1 cent by 2031. Therefore it is almost impossible for Sh...
A magnetic dipole is a magnetic north pole and a magnetic south pole separated by a small distance. Magnetic dipole moments have dimensions of current tim...
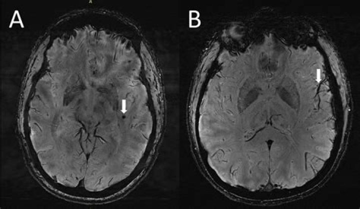
In a KaplanāMeier analysis, patients who were treated with warfarin had a mean life expectancy of 52.0 months, whereas those who were not treated with war...
There are 5 steps to remove a name from the property deed:Discuss property ownership interests. ... Access a copy of your title deed. ... Complete, review...
Stretch mark appears due to rapid stretching and growth of your skin, such as with sudden weight gain or during puberty or pregnancy. Our skin super stret...
Every woman will experience the let-down reflex differently, but sometimes it causes short-lived itching in the nipples or breasts. Itching that lasts sev...
Jockey's whip doesn't hurt horses The whips used in horse racing are lightweight and made with soft foam. Jockeys strike their horses to encoura...